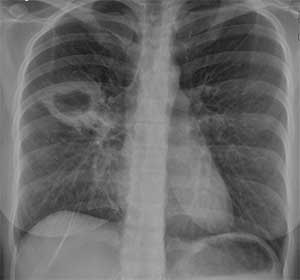
Nampula (IKWELI) – Na província de Nampula, a mais populosa do país, 240 pessoas, em 100 mil habitantes, vivem com a tuberculose, uma doença que nos últimos 9 meses do corrente ano fez 88 óbitos.
As principais vítimas são jovens, maioritariamente do sexo masculino.
Nilton Napoleão, supervisor provincial da Tuberculose, refere que os números são preocupantes, aliado com a desistência no tratamento.
“Olhando aquilo que são os casos de tuberculose de todas as formas, nós reduzimos por causa das actividades de sensibilização que temos tido ao nível das comunidades,” disse a nossa fonte, revelando alguma preocupação com a tuberculose infantil, pois no período em referência foram registados 473 casos, contra 191 do igual período comparativo.”
Na província, os distritos de Nampula, Mogovolas e Eráti são os que mais casos registam. (Virgínia Emília)





